Neuronas hiperconectadas, la razón de visualizar sonidos o escuchar colores
José Manuel Andrés | Madrid
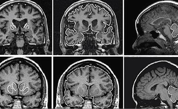
Una serie de variaciones genéticas hereditarias pueden predisponer a las personas a la sinestesia, lo que abre una puerta para comprender mejor trastornos como el autismo